- Home
- Trauma Care
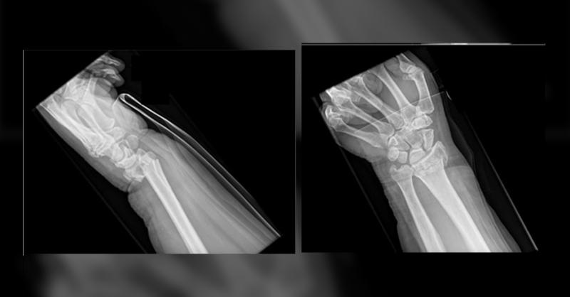
The Post-traumatic Radioulnar Synostosis in a 57 year old Man
20223 min read
Medical Article
Distal radius fracture is very commonly seen among adults. Many surgical modalities are available for fixing distal radius fractures, including external fixator, K-wires percutaneous fixation, bridging plate, and open reduction and internal fixation(ORIF). However, there are multiple complications reported subsequent to non-operative or operative t

The Post-traumatic Radioulnar Synostosis in a 57 year old Man
175 Reached1 Comments
Similar Content

Acute Renal Failure in Child Due to High Dose of Indomethacin
685 Reached6 Comments

Fremanezumab for Prevention and Treatment of Migraine
390 Reached13 Comments11 Likes

Woman with Abdominal/Flank Pain and Gross Hematuria Post Accident
565 Reached2 Comments4 Likes

Suicide Attempt of Female with Paracetamol, INH And Ibuprofen Poisoning
490 Reached14 Comments15 Likes
Female with Polytrauma from Car Crash
201 Reached2 Comments2 Likes
