- Home
- Genetic Disease
A Case of Tremor and Cognitive Impairment in the Elderly: Identify the Rare Neurodegenerative Disorder in an Elderly
20242 min read
Medical Article
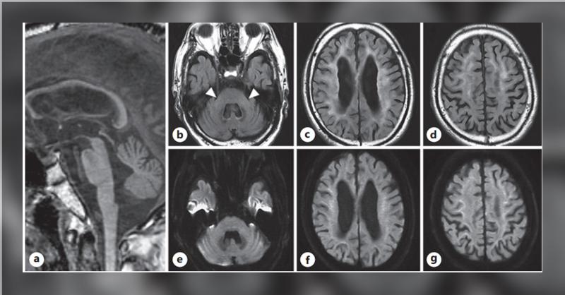
A 68-year-old man with an 8-year history of right arm postural tremor and cognitive decline was initially diagnosed with Parkinson's disease. Despite treatment with 400 mg/day of levodopa/carbidopa and 0.75 mg/day of pramipexole, there was no improvement. Zonisamide (25 mg/day) partially alleviated the tremor, prompting referral. Neurological exami

A Case of Tremor and Cognitive Impairment in the Elderly: Identify the Rare Neurodegenerative Disorder in an Elderly
Similar Content

Carpal Tunnel Syndrome due to Tophaceous Gout in Flexor Tendon
282 Reached5 Comments7 Likes

Complicated case of Osteoarthritis
1850 Reached2 Comments3 Likes

Fremanezumab for Prevention and Treatment of Migraine
390 Reached13 Comments11 Likes

CT Angiography of Spontaneous Coronary Artery Dissection
4208 Reached15 Comments13 Likes

Young Girl Presented with Irritability and Abnormal Behavior
2254 Reached10 Comments4 Likes
