20233 min read
Medical Article
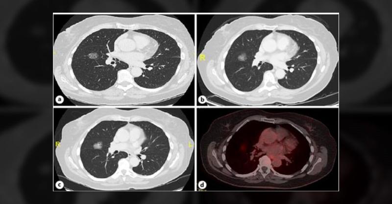
Primary pulmonary lymphomas (PPLs), excluding diffuse large B-cell lymphomas, are rare neoplastic disorders defined by pulmonary lesions without evidence of lymphoma elsewhere. Accounting for 0.5–1% of pulmonary malignancies, 90% of PPLs are mucosa-associated lymphoid tissue lymphomas (MALTomas), prevalent in the 6th and 7th decades, often linked t

A Case Study on Primary Pulmonary MALT Lymphoma Treated with Radiation Therapy
Similar Content

Carpal Tunnel Syndrome due to Tophaceous Gout in Flexor Tendon
282 Reached5 Comments7 Likes

Complicated case of Osteoarthritis
1850 Reached2 Comments3 Likes

Case of Pulmonary Embolism with Syncope
544 Reached4 Likes

Black Lesion in Old Female
1974 Reached5 Comments11 Likes

CT Angiography of Spontaneous Coronary Artery Dissection
4208 Reached15 Comments13 Likes
