- Home
- Obstetrics & Gynaecology
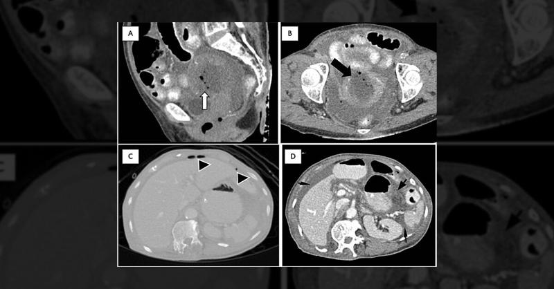
Accurate Imaging Technique for the Diagnosis of Pyometra
1y2 min read
Medical Article
A 75-year-old postmenopausal woman presented to the emergency department with sudden abdominal pain, preceded by a two-day fever and vomiting. The dull, aching pain worsened with movement. She had no altered bowel habits, maintained flatus passage, and had no family history of malignancy. Medically treated for asthma, hypertension, and hyperlipidem

Accurate Imaging Technique for the Diagnosis of Pyometra
1625 Reached13 Comments
Similar Content

Pregnant Woman with HIV-1 Infection
747 Reached1 Likes

Use of Clindamycin for Managing Bacterial Vaginosis
11251 Reached29 Comments8 Likes

Case of Increased Risk of Pregnancy-associated Breast Cancer Recurrence
1008 Reached2 Comments

Impact of Epidural Anesthesia during Labor in Pregnant Females with Cardiovascular Risks
497 Reached1 Comments3 Likes

Resistant Thyrotoxicosis in Pregnancy
1336 Reached4 Comments2 Likes
