- Home
- Respiratory Medicine
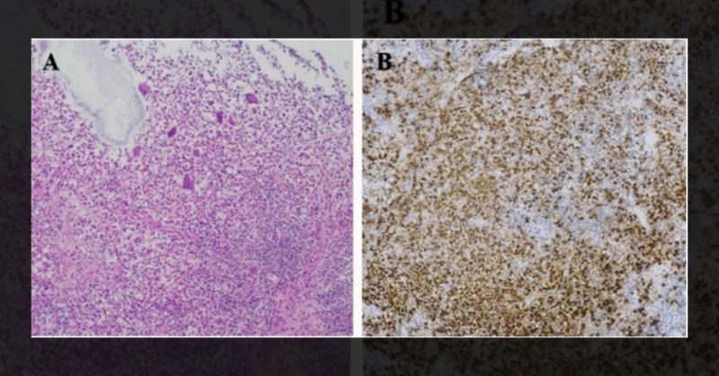
- Diagnosis of a Patient Presenting with Progressive Wheeze, Cough, and Blood-Stained Sputum
1y2 min read
Medical Article
A 26-year-old male presented with progressive wheeze, cough, and blood-stained sputum after physical activity, four months following septoplasty. Pulmonary function tests conducted four months before this admission indicated normal results, with a FEV1/FVC ratio of 82% and DLco of 86%. However, during this admission, the patient displayed extremely

Diagnosis of a Patient Presenting with Progressive Wheeze, Cough, and Blood-Stained Sputum
Similar Content

Acute Renal Failure in Child Due to High Dose of Indomethacin
685 Reached6 Comments

Fremanezumab for Prevention and Treatment of Migraine
390 Reached13 Comments11 Likes

Case of Pulmonary Embolism with Syncope
544 Reached4 Likes

Autopsy Findings of Deceased Renal Transplant Recipient
594 Reached8 Comments5 Likes

Plastic Bronchitis in an Infant
449 Reached
