- Home
- Dental and Oral Health
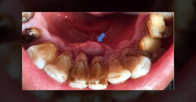
Dx Please: A Case of Mandibular Anterior Pain and Gingival Swelling
20232 min read
Medical Article
A 58-year-old man presented with swelling, severe pain, which was sharp in nature, refractory reddish gingiva, excessive bleeding from the gingiva, and tenderness to even slight tissue palpation on the mandibular anterior area. He reported a two-day history of intense toothache, affecting his ability to eat, brush, and speak. Despite being in good

Dx Please: A Case of Mandibular Anterior Pain and Gingival Swelling
Similar Content

Chronic Hyperplastic Candidiasis Of The Oral Mucosa
859 Reached9 Comments11 Likes

Teenage Girl with Avulsed Teeth
3936 Reached5 Comments7 Likes

Dental Trauma in Pediatric Patient
2049 Reached2 Comments4 Likes

Male with Oral Ulcers on Right Border and Tip of Tongue without Trauma
2428 Reached5 Comments5 Likes

Removal of Fractured Needle from Left Pterygomandibular Space
3844 Reached12 Comments17 Likes
