- Home
- Respiratory Medicine
"Genetic Whispers: Decoding the Clues Behind Spontaneous Pneumothorax and Basal Lung Cysts"
20232 min read
Medical Article
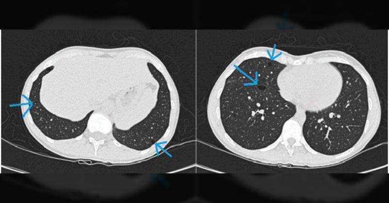
A 29-year-old female presented with a spontaneous pneumothorax (SP) 2 days after completing a half marathon. The SP was treated successfully with drainage. Further, a high-resolution computed tomography (HRCT) scan was performed which showed multiple cysts in the basal parts of the lungs. To further investigate, pulmonary function tests and magneti

"Genetic Whispers: Decoding the Clues Behind Spontaneous Pneumothorax and Basal Lung Cysts"
Similar Content

Case of Pulmonary Embolism with Syncope
544 Reached4 Likes

Plastic Bronchitis in an Infant
449 Reached

A Case Study On Airway Management Of CPAM Resection In Neonates
336 Reached

Accident Victim with Ventilator Associated Pneumonia
400 Reached

Managing Meconium Aspiration Syndrome in Infants
9817 Reached7 Comments8 Likes
