- Home
- Dental and Oral Health
Mandibular and Maxillary Challenges- CBCT Observations in a Young Man
1y2 min read
Medical Article
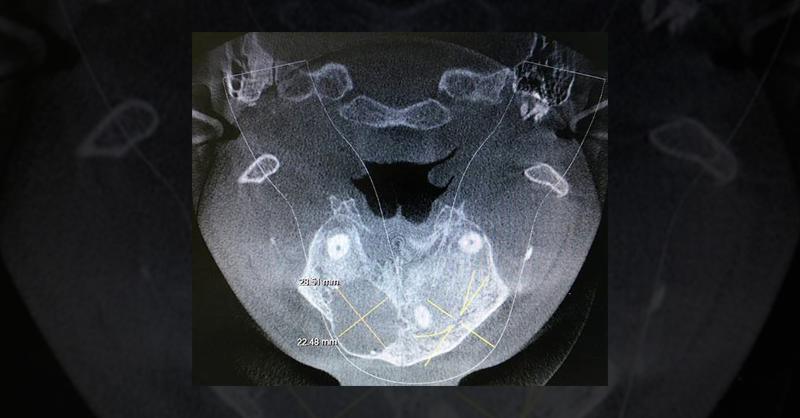
A 24-year-old male with swelling in the upper right tooth region underwent CBCT following referral. Physical examination noted voice resonance and occasional headaches. CBCT revealed a large unicystic radiolucency spanning from the periapical area of 13 to the periapex of 16, accompanied by the absence of the left maxillary sinus. Axial imaging del

Mandibular and Maxillary Challenges- CBCT Observations in a Young Man
Similar Content

Carpal Tunnel Syndrome due to Tophaceous Gout in Flexor Tendon
282 Reached5 Comments7 Likes

Complicated case of Osteoarthritis
1850 Reached2 Comments3 Likes

Chronic Hyperplastic Candidiasis Of The Oral Mucosa
859 Reached9 Comments11 Likes

CT Angiography of Spontaneous Coronary Artery Dissection
4208 Reached15 Comments13 Likes

Woman with Abdominal/Flank Pain and Gross Hematuria Post Accident
565 Reached2 Comments4 Likes
