- Home
- Obstetrics & Gynaecology
- Unraveling the Cause of Severe Vaginal Bleeding in a Patient with a Positive Pregnancy Test
1y2 min read
Medical Article
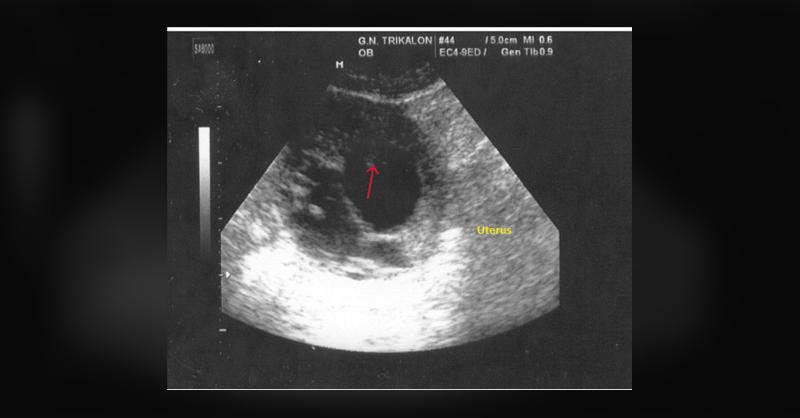
A 27-year-old woman, with a history of three vaginal deliveries and pelvic inflammatory disease, presented with severe vaginal bleeding. Despite never using an intrauterine contraceptive coil, she had a history of recurrent hospitalizations for pelvic inflammatory disease three years ago. She complained of mild lower abdominal discomfort persisting

Unraveling the Cause of Severe Vaginal Bleeding in a Patient with a Positive Pregnancy Test
1175 Reached9 Comments
Similar Content

Carpal Tunnel Syndrome due to Tophaceous Gout in Flexor Tendon
282 Reached5 Comments7 Likes

Complicated case of Osteoarthritis
1850 Reached2 Comments3 Likes

Pregnant Woman with HIV-1 Infection
747 Reached1 Likes

Use of Clindamycin for Managing Bacterial Vaginosis
11227 Reached29 Comments8 Likes

CT Angiography of Spontaneous Coronary Artery Dissection
4208 Reached15 Comments13 Likes
