- Home
- Dental and Oral Health
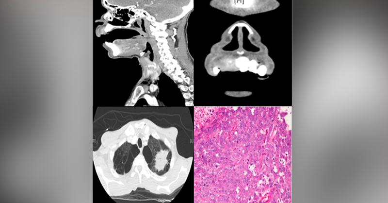
- A Case of Untreated Dental Abscess Despite Tooth Extraction And Antibiotics
20222 min read
Medical Article
A 58-year-old male presented with a 2 month history of "dental abscess". He was also treated with tooth extractions and antibiotic therapy prior to the presentation, but his dental abscess persisted. His tobacco smoking history is a 10-pack-years. The patient reported bilateral neck swelling, exertional dyspnea, a 35-pound weight loss, and severe r

A Case of Untreated Dental Abscess Despite Tooth Extraction And Antibiotics
1117 Reached29 Comments
Similar Content

Chronic Hyperplastic Candidiasis Of The Oral Mucosa
859 Reached9 Comments11 Likes

Traumatic Partial Amputation of the Tongue
674 Reached4 Comments4 Likes

Teenage Girl with Avulsed Teeth
3936 Reached5 Comments7 Likes

Dental Trauma in Pediatric Patient
2050 Reached2 Comments4 Likes

Boy with Persistent Right Cheek Pain
554 Reached6 Comments9 Likes
