- Home
- Gynaecological Oncology
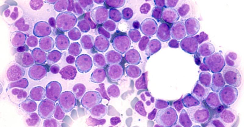
- Insights into Managing Acute Myeloid Leukaemia
20212 min read
Medical Article
Acute myeloid leukaemia (AML) is the most common leukaemia among the adult population and accounts for about 80% of all cases. It is characterized by clonal expansion of immature “blast cells” in the peripheral blood and bone marrow resulting in ineffective erythropoiesis and bone marrow failure. With recent advancements in the management guideline

Insights into Managing Acute Myeloid Leukaemia
Similar Content

Black Lesion in Old Female
1974 Reached5 Comments11 Likes

Case of Increased Risk of Pregnancy-associated Breast Cancer Recurrence
1008 Reached2 Comments

Treatment of Recurrent Adult Medulloblastoma
2602 Reached1 Comments4 Likes

Management of Metastatic Prostate Cancer
1039 Reached5 Comments2 Likes

Pancytopenia, a rare presentation of hyperthyroidism
832 Reached2 Comments
