- Home
- Respiratory Medicine
- Acute Promyelocytic Leukemia In An Adult Male With Unusual Radiological Findings
20222 min read
Medical Article
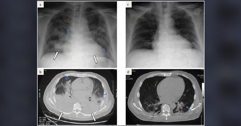
A 55-year-old male presented with bloody stool, leukocytosis, blast cells in peripheral blood, and thrombocytopenia. He had symptoms of general fatigue, appetite loss, and shortness of breath. He has Hypertension and a strong family history of stroke, coronary artery disease, and peripheral artery disease. His white blood cell count was 21,400/μl,

Acute Promyelocytic Leukemia In An Adult Male With Unusual Radiological Findings
41 Reached
Similar Content

Carpal Tunnel Syndrome due to Tophaceous Gout in Flexor Tendon
282 Reached5 Comments7 Likes

Complicated case of Osteoarthritis
1850 Reached2 Comments3 Likes

Case of Pulmonary Embolism with Syncope
544 Reached4 Likes

CT Angiography of Spontaneous Coronary Artery Dissection
4208 Reached15 Comments13 Likes

Woman with Abdominal/Flank Pain and Gross Hematuria Post Accident
565 Reached2 Comments4 Likes
