20212 min read
Medical Article
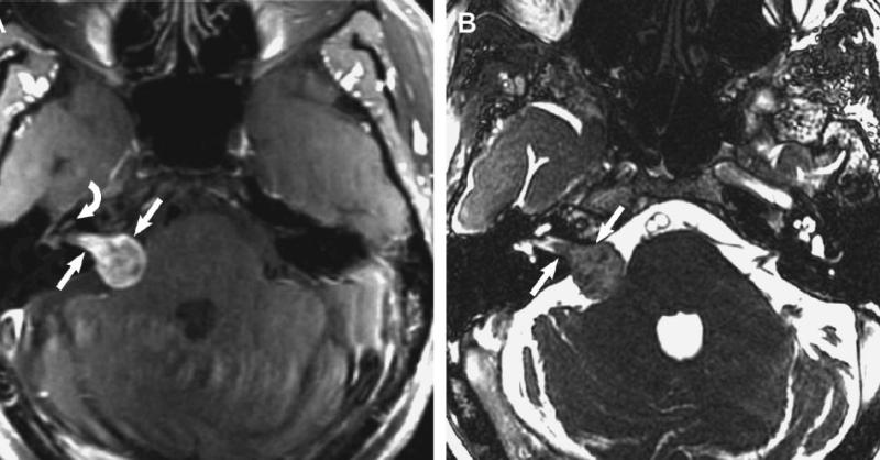
Cerebellopontine angle (CPA) is a triangular space in the posterior cranial fossa that is bounded by the tentorium superiorly, brainstem posteromedially and petrous part of temporal bone posterolaterally. It is an important landmark anatomically and clinically as it is occupied by the CPA cistern, which houses the cranial nerve V, VI, VII, and VIII

Cerebellopontine Angle (CPA) Tumor
509 Reached
Similar Content

Fremanezumab for Prevention and Treatment of Migraine
390 Reached13 Comments11 Likes

Black Lesion in Old Female
1974 Reached5 Comments11 Likes

Young Girl Presented with Irritability and Abnormal Behavior
2254 Reached10 Comments4 Likes

Case of Increased Risk of Pregnancy-associated Breast Cancer Recurrence
1008 Reached2 Comments

Treatment of Recurrent Adult Medulloblastoma
2602 Reached1 Comments4 Likes
