- Home
- ENT Otolaryngology
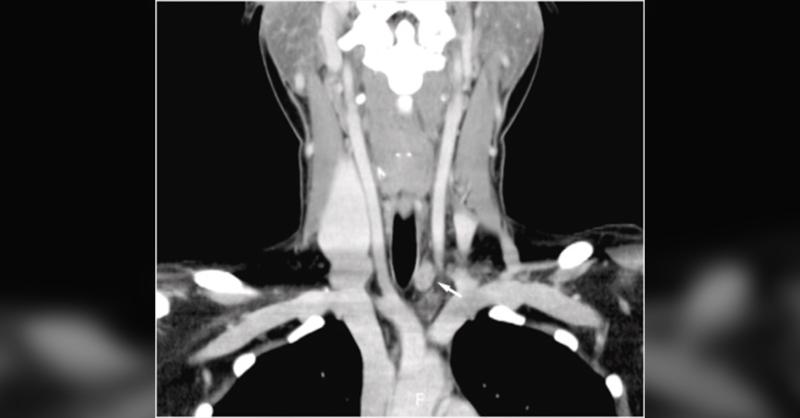
- Coexistence of Left Recurrent and Non-recurrent Laryngeal Nerves in Thyroid Surgery: A Case Report
20223 min read
Medical Article
In thyroid surgery, the recurrent laryngeal nerve (RLN) is an essential part. Asphyxia, hoarseness, and dyspnea could arise from RLN damage (1). Iatrogenic nerve damage during thyroid surgery is frequently caused by anatomic changes in the RLN (1). However, these differences make preoperative USG and CT imaging of the nerve difficult. As a result,

Coexistence of Left Recurrent and Non-recurrent Laryngeal Nerves in Thyroid Surgery: A Case Report
Similar Content

Carpal Tunnel Syndrome due to Tophaceous Gout in Flexor Tendon
282 Reached5 Comments7 Likes

Complicated case of Osteoarthritis
1850 Reached2 Comments3 Likes

Acute Renal Failure in Child Due to High Dose of Indomethacin
685 Reached6 Comments

Fremanezumab for Prevention and Treatment of Migraine
390 Reached13 Comments11 Likes

CT Angiography of Spontaneous Coronary Artery Dissection
4206 Reached15 Comments13 Likes
