- Home
- Gynaecological Oncology
- Diagnose the Tumor Based on Histopathology
20211 min read
Medical Article
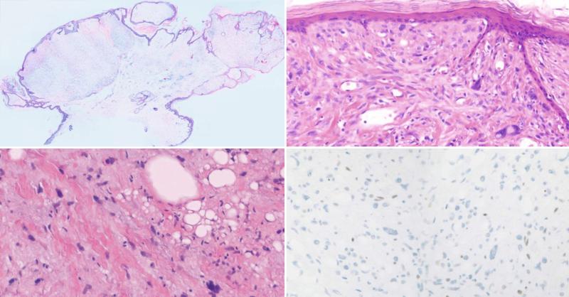
A 74-year-old man presented with an erythematous pedunculated nodule measuring 1.5 cm in the greatest dimension on his right superior posterior thorax that had been present for at least two years prior to current clinical appointment. Solar lentigines on the neck were the only other lesions noted at the time of examination. Histopathological examin

Diagnose the Tumor Based on Histopathology
Similar Content

Black Lesion in Old Female
1974 Reached5 Comments11 Likes

Case of Increased Risk of Pregnancy-associated Breast Cancer Recurrence
1008 Reached2 Comments

Treatment of Recurrent Adult Medulloblastoma
2602 Reached1 Comments4 Likes

Management of Metastatic Prostate Cancer
1039 Reached5 Comments2 Likes

Autopsy Findings of Deceased Renal Transplant Recipient
594 Reached8 Comments5 Likes
