1y2 min read
Medical Article
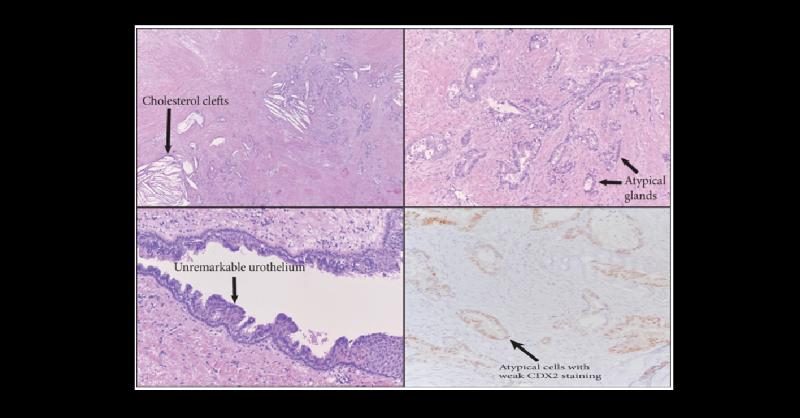
A 71-year-old female presented with increasing pain in the tailbone/pelvic area over the past few months. Her medical history includes childhood surgery at age 9 to remove a "gelatinous" cystic mass any specific diagnosis or the specifics regarding the operation. Magnetic resonance imaging (MRI) revealed a large (10.6 × 12.8 × 14.1 cm) complex mult

Diagnosis of Cystic Mass in Pelvic Area
Similar Content

Black Lesion in Old Female
1974 Reached5 Comments11 Likes

Switching from Premixed Insulin to Basal Insulin with OADs
1083 Reached2 Comments6 Likes

ACC, AHA and ESC Recommendations for Heart Failure Management
2323 Reached29 Comments2 Likes

Case of Increased Risk of Pregnancy-associated Breast Cancer Recurrence
1008 Reached2 Comments

Treatment of Recurrent Adult Medulloblastoma
2602 Reached1 Comments4 Likes
