- Home
- Respiratory Medicine
- Diagnosis of Right Lung Nodules and Mediastinal Mass
1y2 min read
Medical Article
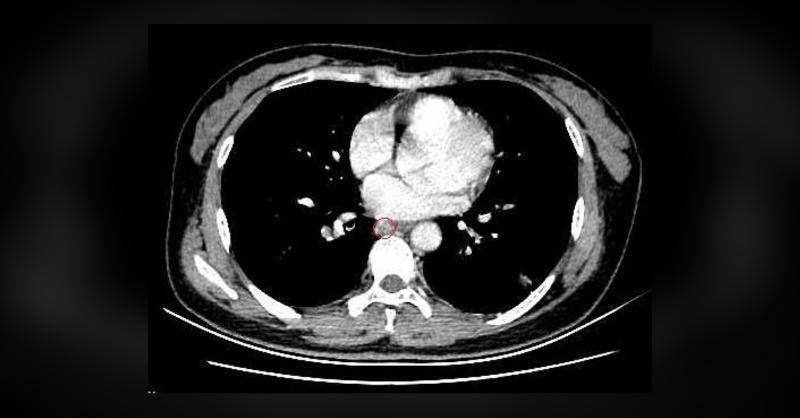
A 52-year-old woman presented following the incidental discovery of multiple right pulmonary nodules on a CT scan performed five months prior. She was asymptomatic at the time of admission. A chest CT scan demonstrated multiple ground-glass opacities located in the right superior and inferior pulmonary lobes. Additionally, a sharply marginated mass

Diagnosis of Right Lung Nodules and Mediastinal Mass
Similar Content

Carpal Tunnel Syndrome due to Tophaceous Gout in Flexor Tendon
282 Reached5 Comments7 Likes

Complicated case of Osteoarthritis
1850 Reached2 Comments3 Likes

Case of Pulmonary Embolism with Syncope
544 Reached4 Likes

Black Lesion in Old Female
1974 Reached5 Comments11 Likes

Switching from Premixed Insulin to Basal Insulin with OADs
1083 Reached2 Comments6 Likes
