20222 min read
Medical Article
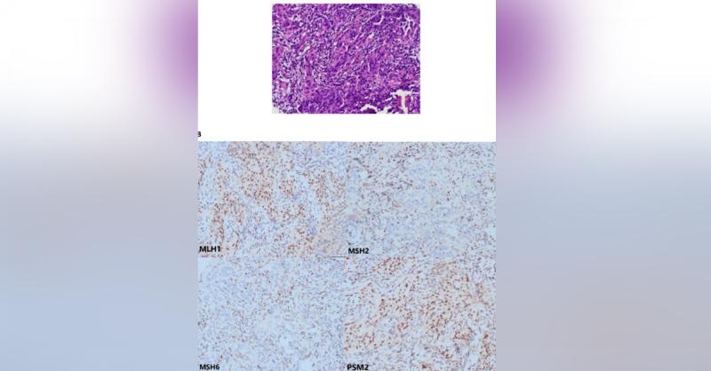
A 44-year-old female was diagnosed with endometrial cancer (EC). Histopathological examination of surgically obtained samples led to a meso-differentiated endometrioid adenocarcinoma diagnosis. Pathological staging of surgery identified the disease as stage IA with no lymph-vascular space invasion. Five years later, she was presented with a pelvic

Endometrial Cancer in an Elderly Female Combined with EPCAM-MSH2 Deletion
376 Reached7 Comments
Similar Content

Black Lesion in Old Female
1974 Reached5 Comments11 Likes

Case of Increased Risk of Pregnancy-associated Breast Cancer Recurrence
1008 Reached2 Comments

Treatment of Recurrent Adult Medulloblastoma
2602 Reached1 Comments4 Likes

Management of Metastatic Prostate Cancer
1039 Reached5 Comments2 Likes

Autopsy Findings of Deceased Renal Transplant Recipient
594 Reached8 Comments5 Likes
