- Home
- ENT Otolaryngology
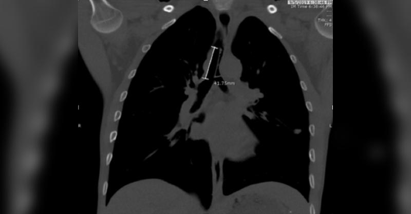
- Foreign Body in the Airway in a Patient with A Tracheostomy…What is Your Recommendation?
20222 min read
Medical Article
A 34-year-old man who is on tracheostomy presented with shortness of breath and self-reported foreign body aspiration. He had been tracheostomy dependent for several years due to bilateral vocal cord immobility and subglottic stenosis due to prior trauma. He stated that when he coughed, the Montgomery cannula "slipped into his throat." He went to t

Foreign Body in the Airway in a Patient with A Tracheostomy…What is Your Recommendation?
668 Reached24 Comments
Similar Content

Carpal Tunnel Syndrome due to Tophaceous Gout in Flexor Tendon
282 Reached5 Comments7 Likes

Complicated case of Osteoarthritis
1850 Reached2 Comments3 Likes

Acute Renal Failure in Child Due to High Dose of Indomethacin
685 Reached6 Comments

Fremanezumab for Prevention and Treatment of Migraine
390 Reached13 Comments11 Likes

CT Angiography of Spontaneous Coronary Artery Dissection
4208 Reached15 Comments13 Likes
