- Home
- Dental and Oral Health
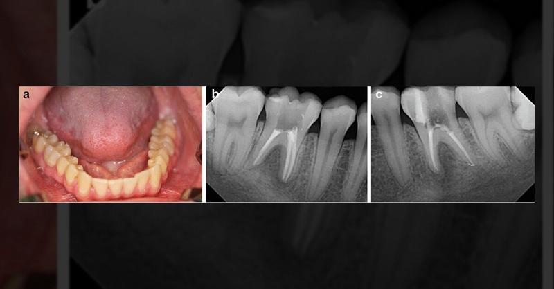
Identifying the Cause of Apical Periodontitis in a Young Adult
20232 min read
Medical Article
A 28-year-old healthy male presented with apical periodontitis affecting teeth 36 and 46. Despite ongoing endodontic treatment, both teeth showed worsening apical osteolysis. Neither tooth had caries, trauma, or periodontal issues, and the patient was asymptomatic. Clinical examination revealed increased tooth mobility and bifurcation, with probing

Identifying the Cause of Apical Periodontitis in a Young Adult
Similar Content

Carpal Tunnel Syndrome due to Tophaceous Gout in Flexor Tendon
282 Reached5 Comments7 Likes

Complicated case of Osteoarthritis
1850 Reached2 Comments3 Likes

Chronic Hyperplastic Candidiasis Of The Oral Mucosa
859 Reached9 Comments11 Likes

CT Angiography of Spontaneous Coronary Artery Dissection
4208 Reached15 Comments13 Likes

Woman with Abdominal/Flank Pain and Gross Hematuria Post Accident
565 Reached2 Comments4 Likes
