- Home
- Respiratory Medicine
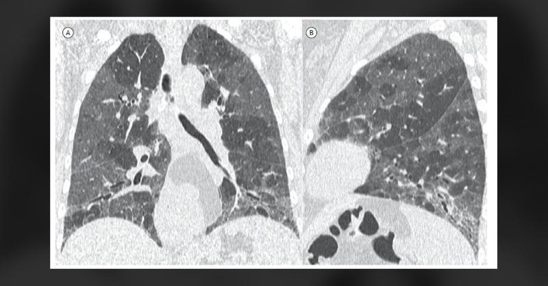
Lung Pattern of Patient With Hypersensitivity Pneumonitis
1y2 min read
Medical Article
A 48-year-old woman came in reporting fatigue, worsening shortness of breath, a persistent dry cough, and significant weight loss of 16 kilograms over the span of a year. CT imaging of her lungs revealed abnormalities consistent with lung tissue attenuation. While there were no observable changes in pulmonary blood vessel patterns or arterial flow

Lung Pattern of Patient With Hypersensitivity Pneumonitis
1448 Reached4 Comments
Similar Content

Carpal Tunnel Syndrome due to Tophaceous Gout in Flexor Tendon
282 Reached5 Comments7 Likes

Complicated case of Osteoarthritis
1850 Reached2 Comments3 Likes

Case of Pulmonary Embolism with Syncope
544 Reached4 Likes

CT Angiography of Spontaneous Coronary Artery Dissection
4208 Reached15 Comments13 Likes

Woman with Abdominal/Flank Pain and Gross Hematuria Post Accident
565 Reached2 Comments4 Likes
