- Home
- Hepatology
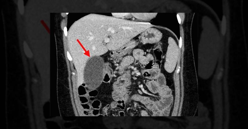
Management of Gallbladder Dysfunction and Choledocholithiasis in a Young Adult
20232 min read
Medical Article
A 21-year-old woman presented with escalating pain in the right upper quadrant and epigastric region, radiating to her back. She experienced stabbing, and cramping pain along with nonbloody, nonbilious vomiting, worsening over seven days. Similar symptoms had appeared during her pregnancies in the past. Previously, she underwent common bile duct st

Management of Gallbladder Dysfunction and Choledocholithiasis in a Young Adult
1340 Reached11 Comments
Similar Content

Postpartum Spontaneous Subcapsular Hepatic Hematoma
474 Reached5 Comments5 Likes

GCAP to improve Prognosis of Patients with Severe AH
490 Reached

Management of Autoimmune Pancreatitis
209 Reached2 Comments1 Likes

Woman with Complaint of Spontaneous Massive Rectal Prolapse
1871 Reached17 Comments9 Likes

Woman who Developed Acute Fatty Liver of Pregnancy
209 Reached4 Comments1 Likes
