- Home
- Infections and Infectious Diseases
Management of In-Stent Restenosis
1y2 min read
Medical Article
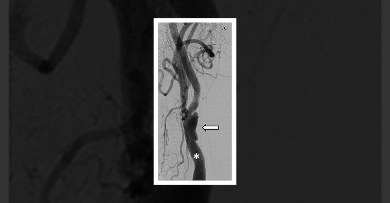
A 72-year-old man with a history of diabetes mellitus, hypertension, and smoking presented with blurred vision and dizziness, reminiscent of previous carotid artery issues. A carotid ultrasound revealed significant stenosis in his left internal carotid artery, while angiography showed eccentric stenosis with an ulcerative crater at the stent site.

Management of In-Stent Restenosis
1473 Reached3 Comments
Similar Content

Carpal Tunnel Syndrome due to Tophaceous Gout in Flexor Tendon
282 Reached5 Comments7 Likes

Complicated case of Osteoarthritis
1850 Reached2 Comments3 Likes

Fremanezumab for Prevention and Treatment of Migraine
390 Reached13 Comments11 Likes

Use of Clindamycin for Managing Bacterial Vaginosis
11227 Reached29 Comments8 Likes

Chronic Hyperplastic Candidiasis Of The Oral Mucosa
858 Reached9 Comments11 Likes
