- Home
- General Surgery
Painful Shoulder Lump in Woman with SLE: What Could It Be?
20232 min read
Medical Article
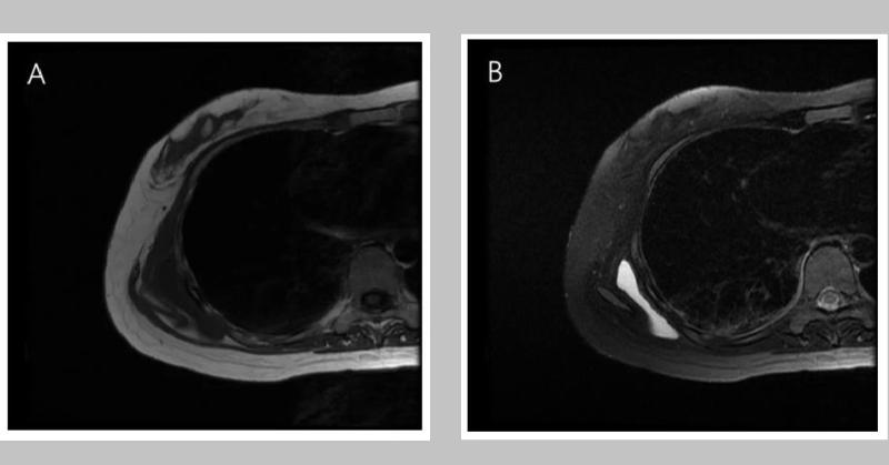
A 34-year-old woman with a history of systematic lupus erythematosus (SLE) presented with a palpable lump and pain in her right shoulder. MRI revealed scapulothoracic bursitis. Histopathological examination confirmed the diagnosis of bursitis with cystic degeneration and recurrent bursitis. Her shoulder movement remained unrestricted, and she did n

Painful Shoulder Lump in Woman with SLE: What Could It Be?
Similar Content

Study to Test Tofacitinib Efficacy for Psoriatic Arthritis
446 Reached2 Comments4 Likes

Tofacitinib in Patients with Psoriatic Arthritis who have Inadequate Response to TNFi
127 Reached

Woman with Persistent Lyme Disease
57 Reached

Post-partum Septic Arthritis of the Knee
424 Reached2 Comments1 Likes

ORAL Strategy to Assess Efficacy of Tofacitinib in RA
213 Reached
