- Home
- General Surgery
- Pancreatic Fistula Following Extrahepatic Bile Duct Resection: Management
20222 min read
Medical Article
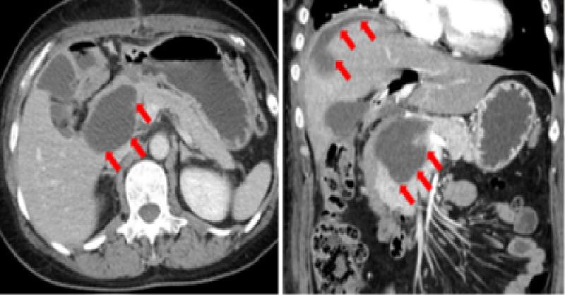
A 55-year-old woman underwent extrahepatic bile duct resection, including the gallbladder, and biliary tract reconstruction for Todani classification type IV-A CBD. The reconstruction method used was hepaticojejunostomy with Roux-en-Y. The drain was placed in the foramen of Winslow, dorsal of the anastomotic site. The patient started eating solid f

Pancreatic Fistula Following Extrahepatic Bile Duct Resection: Management
2001 Reached14 Comments
Similar Content

Carpal Tunnel Syndrome due to Tophaceous Gout in Flexor Tendon
282 Reached5 Comments7 Likes

Complicated case of Osteoarthritis
1850 Reached2 Comments3 Likes

CT Angiography of Spontaneous Coronary Artery Dissection
4208 Reached15 Comments13 Likes

Woman with Abdominal/Flank Pain and Gross Hematuria Post Accident
565 Reached2 Comments4 Likes

Treatment of Recurrent Adult Medulloblastoma
2602 Reached1 Comments4 Likes
