- Home
- Obstetrics & Gynaecology
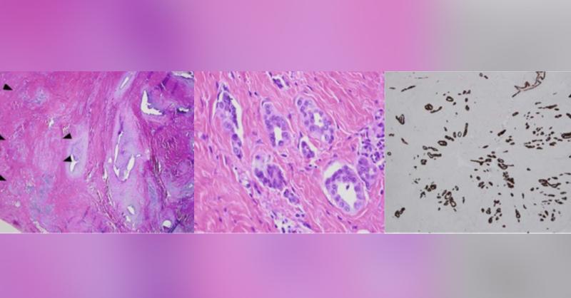
Patient Presented with Abdominal Wall Soft Tissue Finding
20222 min read
Medical Article
A 32-year-old female with a history of prior cesarean section presented with endometriosis forming an abdominal wall mass at the Pfannenstiel incision site. So, she was on progestin treatment for endometriosis. A further abdominal biopsy was conducted, and a hard mass lesion was detected, as shown in the histology examination.

Patient Presented with Abdominal Wall Soft Tissue Finding
Similar Content

Pregnant Woman with HIV-1 Infection
747 Reached1 Likes

Use of Clindamycin for Managing Bacterial Vaginosis
11253 Reached29 Comments8 Likes

Case of Increased Risk of Pregnancy-associated Breast Cancer Recurrence
1008 Reached2 Comments

Impact of Epidural Anesthesia during Labor in Pregnant Females with Cardiovascular Risks
497 Reached1 Comments3 Likes

Autopsy Findings of Deceased Renal Transplant Recipient
594 Reached8 Comments5 Likes
