- Home
- Obstetrics & Gynaecology
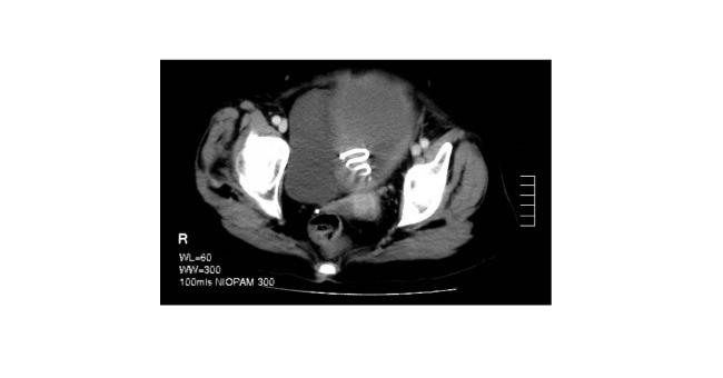
- Postmenopausal Woman presenting with Cervical Cancer Symptoms
20203 min read
Medical Article
A 66 year old Caucasian, post-menopausal woman was admitted to hospital under the care of the general physicians. She had a three months history of cough and productive green sputum, weight loss, poor appetite and frequent night sweats. Interestingly there was no history of vaginal bleeding. Examination Clinical examination revealed she was febrile

Postmenopausal Woman presenting with Cervical Cancer Symptoms
Similar Content

Female with History of Amenorrhoea
3097 Reached10 Comments11 Likes

Role and Importance of DHA in Cognitive Development
524 Reached1 Likes

Vildagliptin in Reducing Risk of Post-partum Diabetes
2386 Reached7 Comments4 Likes

Managing Amenorrhea in Adolescent girl
2548 Reached5 Comments4 Likes

Link between PCOS, Obesity and Diabetes
479 Reached2 Likes
