- Home
- Dental and Oral Health
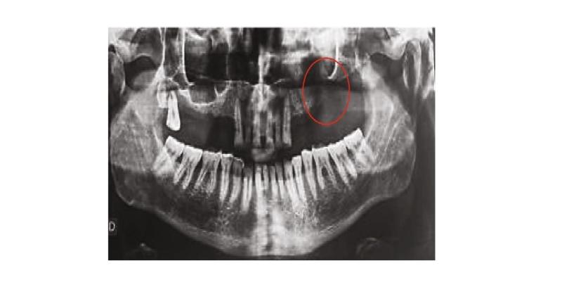
- Prosthetic Rehabilitation after Maxillectomy following Squamous Cell Carcinoma
20223 min read
Medical Article
Mucoepidermoid carcinoma is a common salivary tumour with varying potential for aggressive behaviour. The morphological and spatial characteristics of the tumour, its extension to the neighbouring structures, the presence of metastases, the involvement of the lymph node, and the patient’s general condition determine the therapeutic choices (1). Her

Prosthetic Rehabilitation after Maxillectomy following Squamous Cell Carcinoma
1628 Reached1 Comments
Similar Content

Carpal Tunnel Syndrome due to Tophaceous Gout in Flexor Tendon
282 Reached5 Comments7 Likes

Complicated case of Osteoarthritis
1850 Reached2 Comments3 Likes

Black Lesion in Old Female
1974 Reached5 Comments11 Likes

Chronic Hyperplastic Candidiasis Of The Oral Mucosa
858 Reached9 Comments11 Likes

CT Angiography of Spontaneous Coronary Artery Dissection
4208 Reached15 Comments13 Likes
