- Home
- Trauma Care
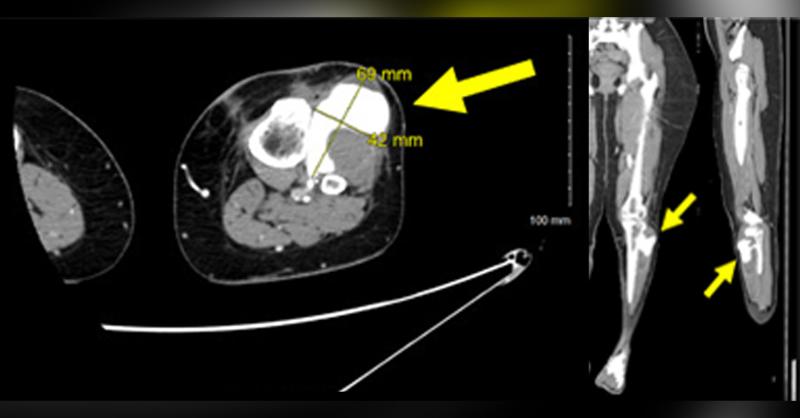
- Pseudoaneurysm in the Anterior Tibial Artery after Arthroscopic Anterior Cruciate Ligament Repair: A Case Study
20223 min read
Medical Article
One of the most frequently researched injuries in the orthopedic literature is anterior cruciate ligament (ACL) tears. Although the prevalence of ACL tears in the general population has not been precisely determined, it has been estimated to range from 30 to 78 per 100,000 individuals (1). Arterial pseudoaneurysms, which account for less than 0.3 p

Pseudoaneurysm in the Anterior Tibial Artery after Arthroscopic Anterior Cruciate Ligament Repair: A Case Study
2296 Reached3 Comments
Similar Content

Carpal Tunnel Syndrome due to Tophaceous Gout in Flexor Tendon
282 Reached5 Comments7 Likes

Complicated case of Osteoarthritis
1850 Reached2 Comments3 Likes

Woman presented with Fever of Unknown Origin
7739 Reached93 Comments19 Likes

How Physicians Should Manage Stress?
35340 Reached151 Comments202 Likes

Male with Jaw Pain and Abdominal Bloating
790 Reached24 Comments26 Likes
