- Home
- Respiratory Medicine
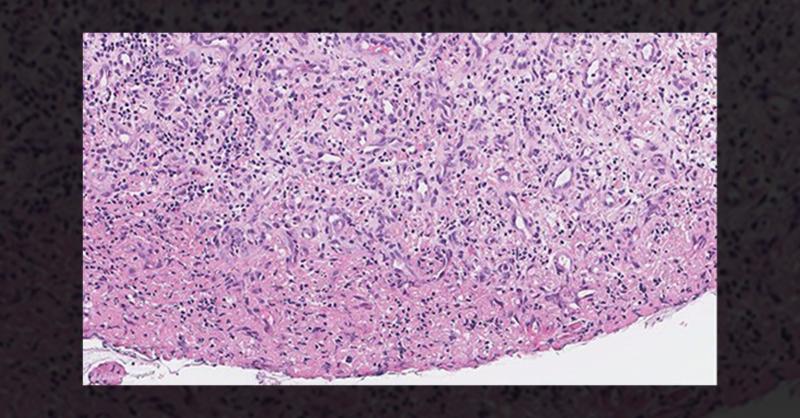
Vocal Cord Polyp in an E-Cigarette User with Progressive Hoarseness
1y3 min read
Medical Article
A 36-year-old male visited due to a gradually worsening hoarseness and dysphonia over the past three weeks. He denied experiencing any difficulty breathing, swallowing, shortness of breath, or weight loss. His medical and surgical history was unremarkable except for a history of using electronic cigarettes. Flexible laryngoscopic examination reveal

Vocal Cord Polyp in an E-Cigarette User with Progressive Hoarseness
Similar Content

Case of Pulmonary Embolism with Syncope
544 Reached4 Likes

Autopsy Findings of Deceased Renal Transplant Recipient
594 Reached8 Comments5 Likes

Plastic Bronchitis in an Infant
449 Reached

A Case Study On Airway Management Of CPAM Resection In Neonates
336 Reached

Bilateral Condylar Fractures with Maxillary and Mandibular Nerve Blocks
945 Reached2 Comments10 Likes
