- Home
- Rheumatology
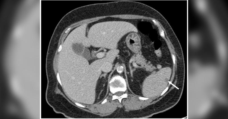
A Rare Case of Microscopic Polyangiitis Presented with Splenic Infarction
20222 min read
Medical Article
A 74-year-old woman presented at the hospital having numbness in both of her hands and weakness in her left arm. She had previously experienced a cerebral infarction and was currently on oral medications for hypertension and dyslipidemia. The right basal ganglia had an acute focal infarction, according to MRI. A subpleural nodule in the right lower

A Rare Case of Microscopic Polyangiitis Presented with Splenic Infarction
Similar Content

Carpal Tunnel Syndrome due to Tophaceous Gout in Flexor Tendon
282 Reached5 Comments7 Likes

Complicated case of Osteoarthritis
1850 Reached2 Comments3 Likes

Acute Renal Failure in Child Due to High Dose of Indomethacin
685 Reached6 Comments

Fremanezumab for Prevention and Treatment of Migraine
390 Reached13 Comments11 Likes

CT Angiography of Spontaneous Coronary Artery Dissection
4208 Reached15 Comments13 Likes
