- Home
- Hepato Pancreato Biliary Surgery
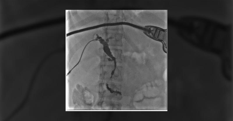
Abdominal Pain and High-Grade Biliary Obstruction in a 36-Year-Old

20232 min read
Medical Article
A 36-year-old presented with abdominal pain, nausea, and vomiting. Upon physical examination, scleral icterus and abdominal tenderness were noted. Lab tests revealed high lipase levels and abnormal liver function. Initial results indicated lipase of 4,693 U/L, total bilirubin of 12.3 mg/dL, direct bilirubin of 9.47 mg/dL, alkaline phosphatase of 88

Abdominal Pain and High-Grade Biliary Obstruction in a 36-Year-Old
120 Reached1 Comments
Similar Content

Postpartum Spontaneous Subcapsular Hepatic Hematoma
474 Reached5 Comments5 Likes

GCAP to improve Prognosis of Patients with Severe AH
490 Reached

Management of Autoimmune Pancreatitis
209 Reached2 Comments1 Likes

Woman with Complaint of Spontaneous Massive Rectal Prolapse
1866 Reached17 Comments9 Likes

Woman who Developed Acute Fatty Liver of Pregnancy
209 Reached4 Comments1 Likes