- Home
- Ophthalmology
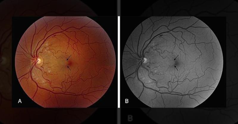
- Diagnosis of a Patient with Multiple Cotton Wool Spots and Retinal Hemorrhage
20242 min read
Medical Article
A 49-year-old healthy male presented with a paracentral temporal scotoma in his left eye after a motor vehicle accident one day prior. Although the airbag was deployed, the patient did not suffer any direct ocular injury or other physical injuries. The patient underwent refractive LASIK OU in both eyes in 2015 but denied any other past ocular or me

Diagnosis of a Patient with Multiple Cotton Wool Spots and Retinal Hemorrhage
2014 Reached19 Comments
Similar Content

Fremanezumab for Prevention and Treatment of Migraine
390 Reached13 Comments11 Likes

Switching from Premixed Insulin to Basal Insulin with OADs
1083 Reached2 Comments6 Likes

Young Girl Presented with Irritability and Abnormal Behavior
2254 Reached10 Comments4 Likes

ACC, AHA and ESC Recommendations for Heart Failure Management
2323 Reached29 Comments2 Likes

Farmer with Pain, Redness, Watering and Reduced Vision in the Right Eye
2469 Reached5 Comments7 Likes
