- Home
- Cardiology
- Diagnosis of Atrial Septal Defect and Thyroid Autoimmunity in a Middle-Aged Woman
1y2 min read
Medical Article
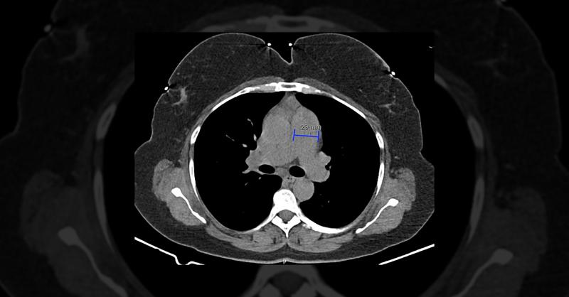
A 33-year-old woman, diagnosed with Graves' disease and treated for six months with methimazole and propranolol, presented with worsening exertional dyspnea, orthopnea, and fatigue. Her physical examination revealed no distress at rest, normal skin color, adequate hydration, and oxygen saturation of 98%. Jugular venous distension was noted, along w

Diagnosis of Atrial Septal Defect and Thyroid Autoimmunity in a Middle-Aged Woman
Similar Content

Carpal Tunnel Syndrome due to Tophaceous Gout in Flexor Tendon
282 Reached5 Comments7 Likes

Complicated case of Osteoarthritis
1850 Reached2 Comments3 Likes

Case of Pulmonary Embolism with Syncope
544 Reached4 Likes

Switching from Premixed Insulin to Basal Insulin with OADs
1083 Reached2 Comments6 Likes

CT Angiography of Spontaneous Coronary Artery Dissection
4206 Reached15 Comments13 Likes
