- Home
- Orthopedics
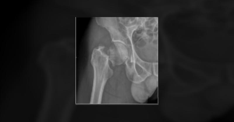
Direct Anterior Approach with Femoral Neck System for Irreducible Displaced Femoral Neck Fractures

1y2 min read
Medical Article
Femoral neck fractures (FNFs) in patients under the age of 50 years account for less than 5% of all hip fractures and are typically the result of a high-energy event. Managing FNFs in young patients, particularly displaced fractures, presents a formidable clinical challenge. Internal fixation is the consensus approach, with an emphasis on achieving

Direct Anterior Approach with Femoral Neck System for Irreducible Displaced Femoral Neck Fractures
4278 Reached20 Comments
Similar Content

Carpal Tunnel Syndrome due to Tophaceous Gout in Flexor Tendon
282 Reached5 Comments7 Likes

Complicated case of Osteoarthritis
1850 Reached2 Comments3 Likes

CT Angiography of Spontaneous Coronary Artery Dissection
4203 Reached15 Comments13 Likes

Woman with Abdominal/Flank Pain and Gross Hematuria Post Accident
565 Reached2 Comments4 Likes

Treatment of Recurrent Adult Medulloblastoma
2602 Reached1 Comments4 Likes