- Home
- Paediatrics
Intricate Ocular Trauma: Surgical Exploration and Retinal Repair
20242 min read
Medical Article
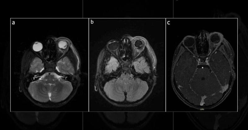
A nine-year-old boy came to the eye clinic with left eye pain and swelling after a sheep needle injury. Initially reassured, he returned on day 3 with worsening symptoms. Further examination at another facility revealed a serious issue: vitreous hemorrhage and retinal detachment with a large tear. He received antibiotics and was referred to our cen

Intricate Ocular Trauma: Surgical Exploration and Retinal Repair
882 Reached2 Comments
Similar Content

Case of Adolescent with Severe Macrocytic Anaemia
53229 Reached503 Comments51 Likes

Shoulder Dislocation during Swimming
78 Reached9 Comments18 Likes

Damage Control Resuscitation to Promote Hemostatic Resuscitation
1006 Reached3 Comments5 Likes

Complete Fracture-dislocation of the Thoracolumbar Spine
1402 Reached8 Comments4 Likes

Case of Forehead Paralysis
772 Reached2 Comments4 Likes
