- Home
- Cardiology
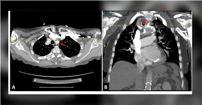
Left Subclavian Artery Stenosis Identification in an Elderly Individual
1y2 min read
Medical Article
An 89-year-old woman, known for hyperlipidemia and untreated hypertension, presented after tests revealed a severe blockage in her left subclavian artery with aortic arch and descending aorta calcifications. She had experienced progressive vertigo, unsteady gait, falls, blurry vision, and left arm numbness/tingling for weeks. Physical examination n

Left Subclavian Artery Stenosis Identification in an Elderly Individual
1277 Reached6 Comments
Similar Content

Carpal Tunnel Syndrome due to Tophaceous Gout in Flexor Tendon
282 Reached5 Comments7 Likes

Complicated case of Osteoarthritis
1850 Reached2 Comments3 Likes

Case of Pulmonary Embolism with Syncope
544 Reached4 Likes

Case of Adolescent with Severe Macrocytic Anaemia
52939 Reached501 Comments51 Likes

CT Angiography of Spontaneous Coronary Artery Dissection
4206 Reached15 Comments13 Likes
