1y2 min read
Medical Article
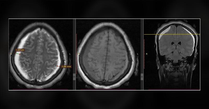
A 25-year-old woman presented with complaints of severe, global headaches and double vision, which had persisted for four weeks following a cesarean section. The cesarean was performed using spinal anesthesia due to poor progress during labor. Despite receiving multimodal analgesia, her headache showed no improvement. Neurological assessments revea

Management of Chronic Bilateral Subdural Hematoma and Bilateral Abducens Nerve Palsy Post-Spinal Anesthesia
Similar Content

Fremanezumab for Prevention and Treatment of Migraine
390 Reached13 Comments11 Likes

Young Girl Presented with Irritability and Abnormal Behavior
2254 Reached10 Comments4 Likes

Spinal Anesthesia in Elderly Patient
4213 Reached10 Comments7 Likes

Unconscious Male in ED following Loss of Motorcycle Control
828 Reached2 Comments2 Likes

Neurotrophic Deep Corneal Ulcer in Old Male
1139 Reached5 Comments4 Likes
