- Home
- Nephrology
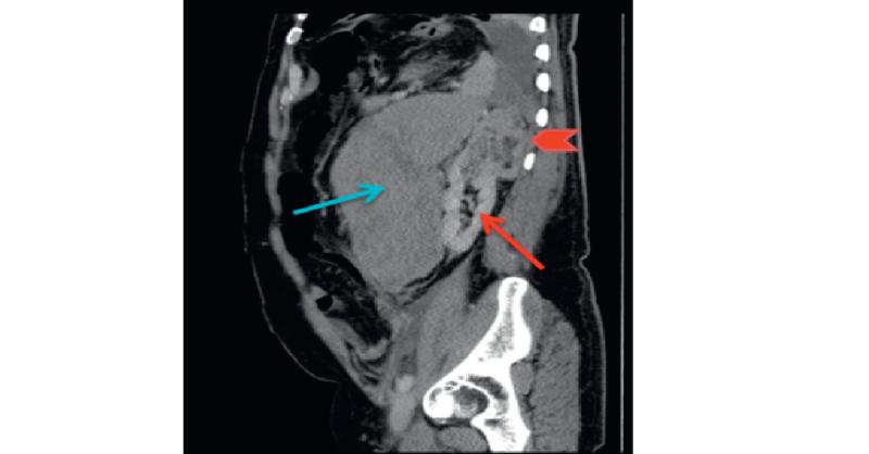
Spontaneous Retroperitoneal Bleeding in 58-Year-Old Man
20222 min read
Medical Article
A 58-year-old man presented to the emergency department complaining of left-side abdominal pain for four days. The pain began suddenly and moved to the left groin and testes. However, it was only associated with constipation through passing flatus. There was no history of vomiting, sweating, palpitation, or hematuria. There was no past medical hist

Spontaneous Retroperitoneal Bleeding in 58-Year-Old Man
1409 Reached3 Comments
Similar Content

Carpal Tunnel Syndrome due to Tophaceous Gout in Flexor Tendon
282 Reached5 Comments7 Likes

Complicated case of Osteoarthritis
1850 Reached2 Comments3 Likes

Acute Renal Failure in Child Due to High Dose of Indomethacin
685 Reached6 Comments

Fremanezumab for Prevention and Treatment of Migraine
390 Reached13 Comments11 Likes

CT Angiography of Spontaneous Coronary Artery Dissection
4208 Reached15 Comments13 Likes
