- Home
- Endocrinology
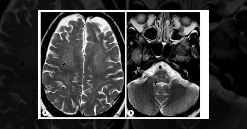
What is the Cause of the Patient’s Adult-Onset Progressive Cerebellar Ataxia?
1y3 min read
Medical Article
A 39-year-old woman presented with a 1.5-year history of worsening right arm tremor and coordination problems, limiting her daily activities. She had no issues with walking or falls but had a history of learning difficulties, right eye cataracts, and secondary amenorrhea. Her sister recalled neonatal diarrhea and vomiting treated with a temporary l

What is the Cause of the Patient’s Adult-Onset Progressive Cerebellar Ataxia?
Similar Content

Carpal Tunnel Syndrome due to Tophaceous Gout in Flexor Tendon
282 Reached5 Comments7 Likes

Complicated case of Osteoarthritis
1850 Reached2 Comments3 Likes

Fremanezumab for Prevention and Treatment of Migraine
390 Reached13 Comments11 Likes

Switching from Premixed Insulin to Basal Insulin with OADs
1083 Reached2 Comments6 Likes

Case of Adolescent with Severe Macrocytic Anaemia
53220 Reached503 Comments51 Likes
