- Home
- Diabetology
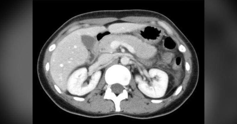
- A 31-year-old woman with Fulminant Type 1 Diabetes Mellitus
20223 min read
Medical Article
Fulminant type 1 diabetes mellitus (FT1D) is a novel subtype of type 1 diabetes. Given below are the specific clinical manifestations shown at the onset of FT1D: 1) Hyperglycemia with diabetic ketoacidosis 2) Plasma glucose level is more than 16.0 mmol/L (288 mg/dL), whereas glycated hemoglobin level is less than 8.7% 3) Urinary C-peptide excretion

A 31-year-old woman with Fulminant Type 1 Diabetes Mellitus
717 Reached1 Comments
Similar Content

Carpal Tunnel Syndrome due to Tophaceous Gout in Flexor Tendon
282 Reached5 Comments7 Likes

Complicated case of Osteoarthritis
1850 Reached2 Comments3 Likes

Acute Renal Failure in Child Due to High Dose of Indomethacin
685 Reached6 Comments

Fremanezumab for Prevention and Treatment of Migraine
390 Reached13 Comments11 Likes

Switching from Premixed Insulin to Basal Insulin with OADs
1083 Reached2 Comments6 Likes
