- Home
- Cardiology
A Patient with Heart Failure Symptoms and Continuous Murmur
20222 min read
Medical Article
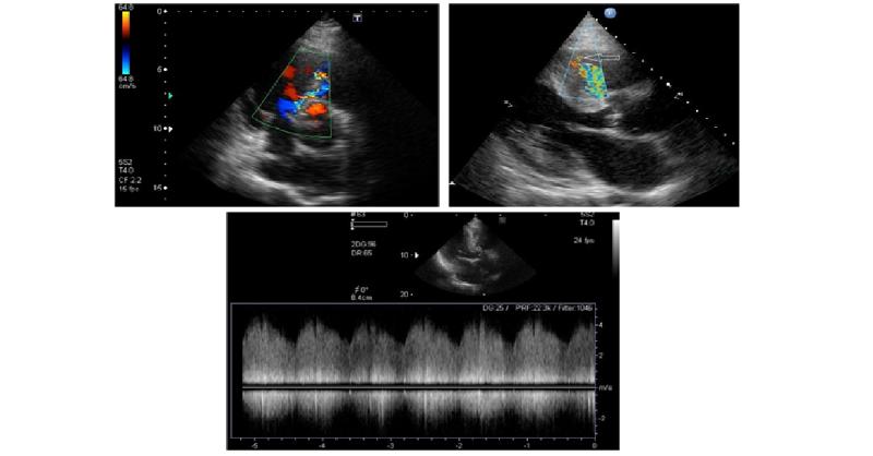
A 65-year-old man was admitted to the hospital having dyspnea, fatigue, and edema of both legs. Heart failure symptoms worsened during the last couple of weeks. He had long-standing arterial hypertension with poor control of arterial pressure without symptoms of coronary artery disease. An electrocardiogram showed sinus rhythm and left bundle branc

A Patient with Heart Failure Symptoms and Continuous Murmur
2387 Reached7 Comments
Similar Content

Carpal Tunnel Syndrome due to Tophaceous Gout in Flexor Tendon
282 Reached5 Comments7 Likes

Complicated case of Osteoarthritis
1850 Reached2 Comments3 Likes

Case of Pulmonary Embolism with Syncope
544 Reached4 Likes

Switching from Premixed Insulin to Basal Insulin with OADs
1083 Reached2 Comments6 Likes

CT Angiography of Spontaneous Coronary Artery Dissection
4208 Reached15 Comments13 Likes
