- Home
- Gastroenterology
- An Unusual Diagnosis of GI bleeding
20223 min read
Medical Article
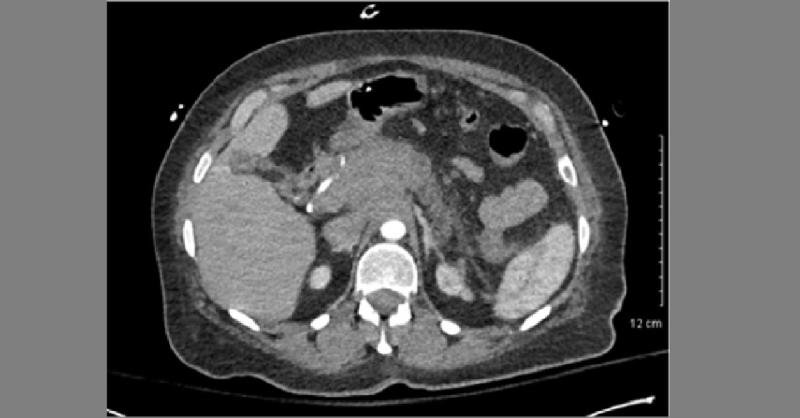
An elderly female presented to the emergency department with a chief complaint of “black tarry stools”. She had a past medical history of hypertension and noticed the “black tarry stools” two days prior to the presentation. Symptoms were not associated with abdominal pain, fatigue, weight loss, and other risk factors like smoking, alcohol intake, a

An Unusual Diagnosis of GI bleeding
109 Reached
Similar Content

Carpal Tunnel Syndrome due to Tophaceous Gout in Flexor Tendon
282 Reached5 Comments7 Likes

Complicated case of Osteoarthritis
1850 Reached2 Comments3 Likes

Black Lesion in Old Female
1974 Reached5 Comments11 Likes

CT Angiography of Spontaneous Coronary Artery Dissection
4208 Reached15 Comments13 Likes

Study evaluating Effectiveness of Bacillus clausii for Treatment of Rotavirus Infection
1303 Reached4 Comments6 Likes
