- Home
- Endocrinology
- Endocrine Cause of Cholestatic Jaundice in a Neonate
1y2 min read
Medical Article
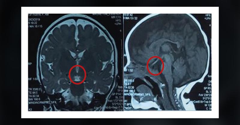
A 40-day-old girl was admitted for progressively worsening cholestatic jaundice, which began on her third day of life. She was born full term from a non-consanguineous marriage. Her perinatal history was unremarkable. Physical examination revealed jaundiced skin and sclera, dark urine, and pale stools, but no hepatomegaly or splenomegaly. There wer

Endocrine Cause of Cholestatic Jaundice in a Neonate
Similar Content

Carpal Tunnel Syndrome due to Tophaceous Gout in Flexor Tendon
282 Reached5 Comments7 Likes

Complicated case of Osteoarthritis
1850 Reached2 Comments3 Likes

Rubella Syndrome in Neonate
1402 Reached12 Comments9 Likes

Switching from Premixed Insulin to Basal Insulin with OADs
1083 Reached2 Comments6 Likes

Case of Adolescent with Severe Macrocytic Anaemia
53197 Reached503 Comments51 Likes
