- Home
- Orthopedics
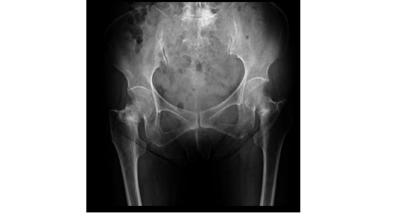
- Fractures of Bilateral Femoral Necks in an Older Patient: Atypical Fracture and its Etiology
20222 min read
Medical Article
A 74-year-old woman with no history of surgery or fractures in the lower extremities and with no other medical history reported co-occurrence of pain on both sides of the hip. Although she had no habit of taking walks, she had started walking for 30 min daily for 5 months for her health before the appearance of pain. She was diagnosed with bilatera

Fractures of Bilateral Femoral Necks in an Older Patient: Atypical Fracture and its Etiology
1531 Reached36 Comments
Similar Content

Carpal Tunnel Syndrome due to Tophaceous Gout in Flexor Tendon
282 Reached5 Comments7 Likes

Complicated case of Osteoarthritis
1850 Reached2 Comments3 Likes

Woman presented with Fever of Unknown Origin
7737 Reached93 Comments19 Likes

How Physicians Should Manage Stress?
35340 Reached151 Comments202 Likes

Male with Jaw Pain and Abdominal Bloating
790 Reached24 Comments26 Likes
