- Home
- Orthopedics
- How Will You Manage a Case of Humerus Fracture?
20222 min read
Medical Article
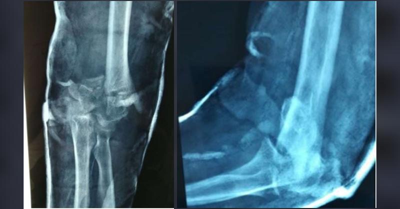
A 42-year-old female patient presented with painful, stiff elbow, and ulnar nerve neuropathy symptoms. On examination, the ROM (range of motion) of the right elbow was 60° of extension to 90° of flexion (total sagittal motion arc of 30°), along with a very compromised rotation of the forearm. This case was of malunited distal humerus fracture of th

How Will You Manage a Case of Humerus Fracture?
Similar Content

Carpal Tunnel Syndrome due to Tophaceous Gout in Flexor Tendon
282 Reached5 Comments7 Likes

Complicated case of Osteoarthritis
1850 Reached2 Comments3 Likes

CT Angiography of Spontaneous Coronary Artery Dissection
4208 Reached15 Comments13 Likes

Woman with Abdominal/Flank Pain and Gross Hematuria Post Accident
565 Reached2 Comments4 Likes

Treatment of Recurrent Adult Medulloblastoma
2602 Reached1 Comments4 Likes
