- Home
- Gastroenterology
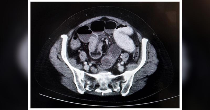
- Ileo-Ileal Intussusception in a 60-year-Old Female
20223 min read
Medical Article
The invagination of a proximal portion of the intestine (intussusceptum) into an adjacent distal segment (intussuscipiens) like a telescope, is known as intussusception. (1) Approximately 1% of cases of adult bowel obstruction can result in intussusception, and about >90% have a distinct underlying cause associated with bowel. (2) Inflammatory fibr

Ileo-Ileal Intussusception in a 60-year-Old Female
526 Reached
Similar Content

Acute Renal Failure in Child Due to High Dose of Indomethacin
685 Reached6 Comments

Fremanezumab for Prevention and Treatment of Migraine
390 Reached13 Comments11 Likes

Study evaluating Effectiveness of Bacillus clausii for Treatment of Rotavirus Infection
1303 Reached4 Comments6 Likes

SECCA for Managing Anal Incontinence
203 Reached2 Comments2 Likes

Study to Test Tofacitinib Efficacy for Psoriatic Arthritis
446 Reached2 Comments4 Likes
