- Home
- Cardiology
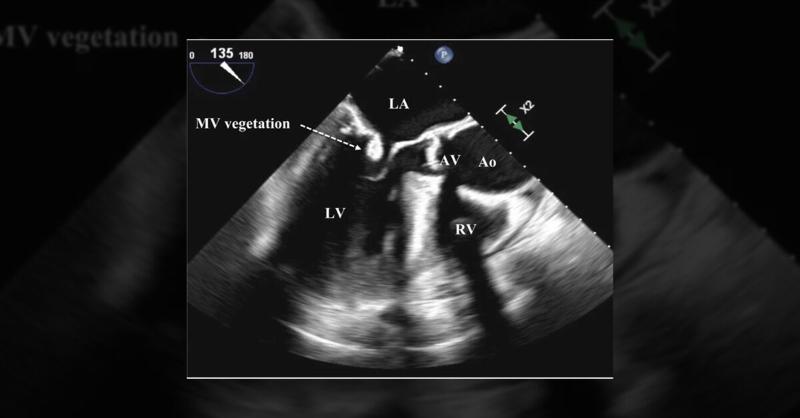
Management of Mitral Valve Endocarditis by T. pyogenes
20232 min read
Medical Article
A 71-year-old man presented experiencing three days of weakness, malaise, and fever following his first dose of Libtayo for recurring basal cell carcinoma. He had an existing history of pancreatic neuroendocrine tumor with liver metastasis and cardiac amyloidosis. On examination, he presented with fever, low blood pressure, increased heart and resp

Management of Mitral Valve Endocarditis by T. pyogenes
Similar Content

Case of Pulmonary Embolism with Syncope
544 Reached4 Likes

CT Angiography of Spontaneous Coronary Artery Dissection
4208 Reached15 Comments13 Likes

ACC, AHA and ESC Recommendations for Heart Failure Management
2323 Reached29 Comments2 Likes

Plastic Bronchitis in an Infant
449 Reached

Male with Progressive Onset of Dyspnea
1057 Reached2 Comments5 Likes
