- Home
- Cardiology
Navigating the Complexities of Streptococcal Endocarditis
1y2 min read
Medical Article
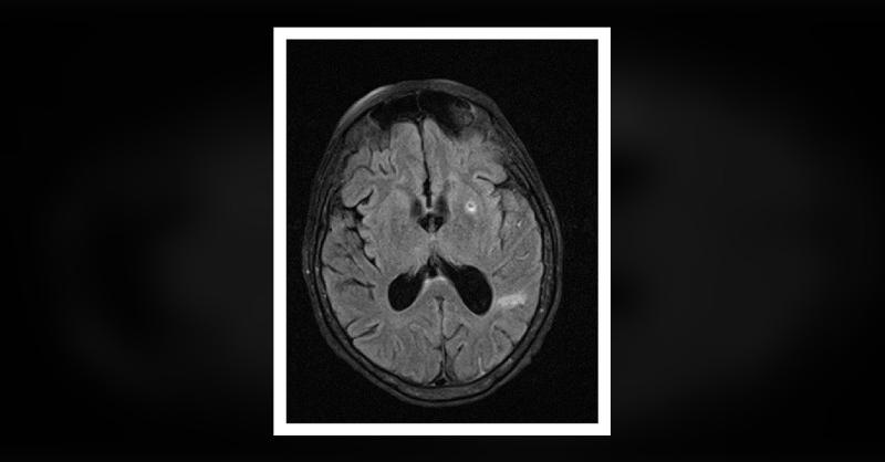
A 65-year-old Caucasian woman with a past medical history notable for hypertension, hyperlipidemia, hypertrophic cardiomyopathy with left ventricular outflow tract obstruction, and mitral regurgitation presented with confusion and fevers. She had no prior surgeries but underwent routine dental cleaning four months before her presentation. Despite a

Navigating the Complexities of Streptococcal Endocarditis
3927 Reached11 Comments
Similar Content

Carpal Tunnel Syndrome due to Tophaceous Gout in Flexor Tendon
282 Reached5 Comments7 Likes

Complicated case of Osteoarthritis
1850 Reached2 Comments3 Likes

Fremanezumab for Prevention and Treatment of Migraine
390 Reached13 Comments11 Likes

Case of Pulmonary Embolism with Syncope
544 Reached4 Likes

Use of Clindamycin for Managing Bacterial Vaginosis
11253 Reached29 Comments8 Likes
