- Home
- Cardiology
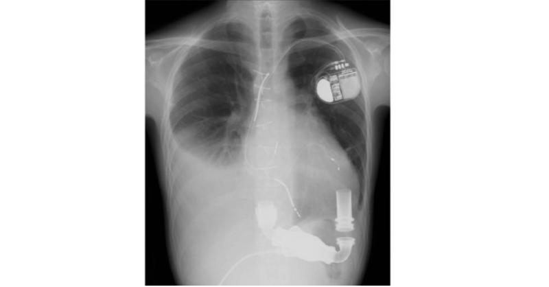
- Right Heart Failure after Left Ventricular Assist Device Implantation in a 30-Year-old Man
20223 min read
Medical Article
Right heart failure (RHF) after left ventricular assist device (LVAD) implantation is an extremely critical issue. When the presence of RHF is evident preoperatively, nitric oxide inhalation and/or inotropic administration is administered over a long period after LVAD implantation. Extremely severe cases need the right ventricular assist device (RV

Right Heart Failure after Left Ventricular Assist Device Implantation in a 30-Year-old Man
Similar Content

Characteristics, Outcomes and Predictors of Long-Term Mortality for Patients Hospitalized for Acute Heart Failure
150 Reached

ACC, AHA and ESC Recommendations for Heart Failure Management
2323 Reached29 Comments2 Likes

Catheter Ablation for Atrial Fibrillation with HF
691 Reached

Complicated case of Osteoarthritis
1850 Reached2 Comments3 Likes

Patient with History of Atrial Fibrillation
519 Reached3 Likes
